一场意外,让风华正茂的他遭受严重的多发伤,全身创伤多达14处!伤情就是命令!徐州一院创伤中心戴勇团队,凭借其专业的救治能力,和明察秋毫的诊断,成功为患者解除了病痛。
 
车祸引发全身多处创伤
11月3日晚,27岁的L先生(化姓)不幸遭遇车祸,导致全身多处受伤,被120紧急送入徐州市第一人民医院。
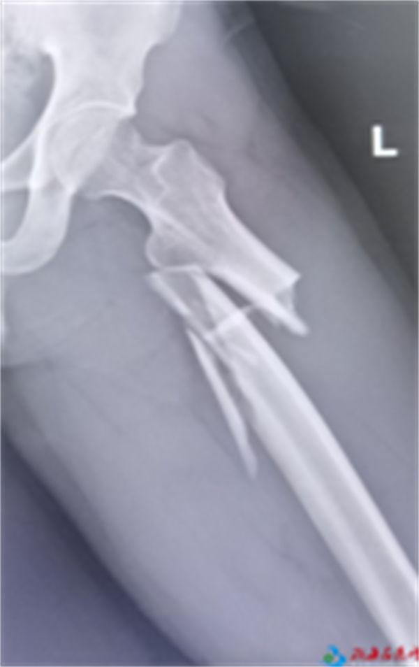
入院后,经过创伤中心副主任医师戴勇和团队成员主治医师吴培伟、孙麟、规培医生霍赛赛等初步检查,患者全身创伤多达14处——左侧股骨干近端粉碎性骨折;右侧髂骨及耻骨上支骨折;左侧髋臼骨折;右侧桡骨远端伴尺骨茎突骨折;右腕三角骨骨折;右腕月骨脱位;右腕部神经损伤;右第1指近节指骨远端骨折;左侧桡骨中段骨折;右肾包膜下出血;肝下缘及右侧结肠挫伤;头部损伤;鼻骨骨折(疑似);面部挫伤及右小腿挫伤。


 
让他“痛”不欲生的右腕
尽管全身多处创伤,但L先生却唯独对右腕部的疼痛描述为“持续剧烈疼痛,难以忍受,有一种濒死感”。患者的异常表现引起了戴勇的警觉,在反复阅片和检查评估后,戴勇判断L先生的右腕部剧痛是由月骨脱位压迫正中神经所致,医学影像中心主任曹伟的会诊意见也证实了戴勇的判断。
这是一种临床上比较少见的腕骨损伤,自己临床工作近30年,也仅见过一例,戴勇表示。
其貌不扬的“元凶”——月骨
据戴勇介绍,月骨是人腕部的一块小骨头,位于腕关节的近侧。它呈半月形,与周围的腕骨和韧带紧密相连,共同维持腕关节的稳定性和灵活性。月骨虽小,但其作用却不可小觑。它不仅是腕关节的重要组成部分,还承担着传导力量和分散应力的作用。
戴勇指出,由于月骨的位置较为特殊,且周围结构复杂,当腕部受到外力冲击或扭伤发生月骨脱位后,月骨可能偏离其正常位置,压迫或损伤周围的神经和血管,导致腕部疼痛、肿胀、活动受限等症状,而这些症状极易和腕部其他损伤混淆,造成漏诊。
慎重选择手术时机
随着创伤救治理念的不断更新,针对车祸等严重创伤的患者, 改变以往的早期就进行确定性手术的策略,能够使患者获得修复的时间和机会,为后续的治疗创造更好的条件。而患者的月骨脱位对正中神经的压迫如果不尽快解决,除了疼痛不缓解,还会因长期压迫,引起神经不可逆损伤。
究竟什么时机手术能够让患者获益更多?
在创伤中心主任、医务处副处长戴必照的主持下,科室进行了四级手术术前多学科讨论,来自医务处、创伤中心、麻醉、护理的专家团队,经过对患者整体状况的细致评估,和对手术风险与益处的综合权衡,决定11月7日为L先生实施手术。
一次麻醉完成六个手术
考虑到L先生全身多处创伤的复杂性,术前,戴勇团队做好充分准备,并为其制定了详细的手术方案和应急预案。
11月7日,手术如期进行。
在麻醉团队副主任医师卢思宇、主治医师闫龙剑,手术室护士长李会及其团队成员周慧、周涛的大力支持下,戴勇、吴培伟、孙麟、霍赛赛团队凭借其精湛的手术技术和默契的配合,为L先生在一次麻醉下完成了六项手术:
左侧股骨骨折切开复位植骨髓内钉内固定术;
右手拇指近节指骨骨折切开复位植骨克氏针内固定术;
右腕正中神经松解术;
右腕月骨脱位切开复位克氏针内固定术;
左侧桡骨中段骨折切开复位植骨内固定术;
右侧桡骨远端切开复位植骨克氏针内固定术。


 
特别是针对右腕月骨脱位的手术,团队不仅成功复位了脱位的月骨,还解除了对正中神经的压迫,从而彻底消除了让L先生“痛”不欲生的病根儿。李先生术后表示右腕部的疼痛明显缓解,现正在进一步的康复中。
据创伤中心主任戴必照介绍,徐州一院创伤中心作为医院五大中心之一,自成立之初,便确立了以“快速、高效、精准”为核心的救治理念,构建了多学科联合救治体系。收治患者中,常涉及多器官损伤、严重颅脑损伤、复杂骨折等急危重症。面对艰巨的救治任务和复杂多变的伤情,创伤中心医护人员以高度的责任心和专业的诊疗技能,日夜坚守在救治一线,成功挽救了众多生命。
 
该案例的成功救治,不仅是徐州一院创伤团队在车祸等多发伤救治方面的丰富经验、专业水准和技术实力的再次彰显,更是对“敬佑生命、救死扶伤、甘于奉献、大爱无疆” 新时代卫生健康职业精神的生动诠释。
专家简介
 
戴 勇
江苏省骨科专家库成员
江苏省骨科鉴定委员会委员
徐州市医学会骨科病学学会创伤骨科学组委员
徐州市医学会骨科病学学会足踝学组委员
毕业于南通大学临床医学系,曾在上海新华医院进修小儿骨科,从事骨科专业二十余年,临床经验丰富。
专业擅长:
各种复杂创伤,髋膝关节病变,脊柱侧弯、肿瘤、结核,颈腰椎间盘病变,小儿骨病创伤等骨科疾病的手术治疗,注重于骨科操作的微创化。
近年来参与发表SCI及核心期刊论文7篇。
