欢迎进入淮海名医网淮海健康在线
您现在的位置是:淮海名医网 > 全网新闻 > 老年护理 > 徐州市肿瘤医院:72岁保持50岁的容颜!这种肿瘤还能让人“冻龄”!
徐州市肿瘤医院:72岁保持50岁的容颜!这种肿瘤还能让人“冻龄”!
信息来自:徐州健康网    发布时间:2023-12-06 15:12:00    阅读量:10445次
[摘要]:徐州健康:72岁的王老太是十里八村的名人。只要见过她的人都惊叹于她的“不老容颜”。不熟悉的人永远猜不透她的年龄,已过古稀之年的她却有一张看起来只有五六十岁的脸。“真年轻”“返老还

  72岁的王老太是十里八村的名人。只要见过她的人都惊叹于她的“不老容颜”。不熟悉的人永远猜不透她的年龄,已过古稀之年的她却有一张看起来只有五六十岁的脸。

  “真年轻”“返老还童”“驻颜有术”……听到这样的赞美之词,即使是一位70多岁的老太太每天也是美滋滋的。

  王老太从没想过让无数人艳羡的“青春永驻”竟然是一种致命的危险。

  肚子越来越大像“怀孕”

  如果仅仅是容颜不老,还不令人惊奇。更让人感到匪夷所思的是,王老太的肚子也越来越大,就像怀孕了一般。

  王老太回忆称,第一次发现肚子里面有东西大约是在2年前。当时虽然肚子不算大,但能觉得肚子里有个东西圆滚滚的,用手一推还能晃动。因为不疼不痒不影响体型,开始的时候王老太并没有在意,只是这个肉球好像在不断长大。虽说不像十月怀胎那样长得这么快,但不停生长却是不争的事实,而且肚子也越来越大了。

  直到2个月前,王老太小腹内的肉球已经带来坠胀的感觉,而且到了肚子越来越大穿衣服无法遮挡的地步。王老太和家人才意识到问题严重,急忙赶到徐州市肿瘤医院找到妇瘤科主任朱彦玲主任医师求助。

  “他们都和我开玩笑,说我又怀上了。”王老太对朱彦玲主任说,“30年前我就因为子宫肌瘤切除过子宫,怎么可能再怀上?”

  “你这是长了瘤子了”朱彦玲主任为王老太做了简单的妇科检查后说。

  虽然王老太已经72岁,但看上去显得非常年轻,看起来只有五六十岁的相貌。这种年龄与相貌不符的反差,让朱彦玲当时就想到了一种可以分泌雌激素,使人看上去年轻的盆腔肿物——卵巢性索间质细胞瘤。

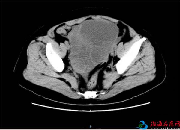
  为进一步明确瘤子性质以及和周围组织关系,朱彦玲给王老太安排了腹部增强CT检查:子宫切除术后,盆腔巨大囊实性肿物,最大横截面积19*12cm,考虑右侧卵巢来源,浆液性囊腺癌可能。

  真相,只有一个……

  CT提示卵巢癌可能,王老太家属得知后情绪非常激动,经验丰富的余晓娟主任医师先是安抚了家属的情绪,并向家属告知,不同的卵巢肿瘤有不同的标志物水平。检验结果中,肿瘤标志物CA125的数值为46.02 U/ml,而根据经验,如此巨大的包块,如果是浆液性囊腺癌,CA125值多在100以上。且王老太的性激素检测提示,雌激素指标为255.00 PG/ml。要知道,年轻女性的雌激素最高值大概在200左右,而王老太年过七旬,卵巢功能衰退,不应该有如此高的雌激素值。所以综合考虑,王老太的盆腔肿物很可能是有分泌雌激素能力的性索间质细胞瘤。

  检查结果印证了朱彦玲主任医师此前的判断。王老太肚子里的瘤子确实是使人看上去年轻的瘤子——卵巢性索间质细胞瘤。

  这些症状一定要重视

  确诊后,朱彦玲为患者尽快安排了手术,并完整的切除了肿物。术后常规病理汇报结果也和朱彦玲判断的一致,为成年型粒层细胞瘤。

  朱彦玲指出:可分泌雌激素的卵巢肿瘤主要为性索间质肿瘤,其发生率大多数占卵巢肿瘤的8%,由卵巢颗粒细胞、卵泡膜细胞、支持细胞、间质细胞、纤维母细胞单独或混合构成,在临床上通常表现有内分泌的功能—主要分泌雌激素和雄激素。卵巢成年型粒层细胞瘤可发生在任何年龄阶段,最常见于围绝经期或绝经后早期,即50-54岁。因为卵巢成年型粒层细胞瘤常有雌激素分泌增多,因此常可出现月经紊乱、阴道流血,有些可并发子宫内膜增生、不典型增生甚至癌变。

  因为王老太在30年前也就是40多岁的时候,切除了子宫,没有出现上述典型症状,所以极易导致漏诊、误诊等情况。好在徐州市肿瘤医院妇瘤科医生详细问诊,经验丰富,提前做出预判后再进行细致的检查印证诊断结果,最后采用较为精准的手术治疗,顺利、完整得摘除了王老太的肿瘤。

  朱彦玲提醒

  卵巢成年型粒层细胞瘤虽然较为罕见,但易伴发子宫内膜病变,甚至导致子宫内膜癌的可能。所以成年女性如果有月经紊乱、阴道莫名流血等症状,一定要重视起来;尤其是绝经后女性如果再次出现“月经”,一定要警惕:这可能不是恢复年轻的月经,而可能是分泌雌激素的卵巢肿瘤。

  朱彦玲特别强调,粒层细胞瘤组织形态多样,需要与多种疾病鉴别诊断,一定要到专业的医院专业的科室就医,以防出现误诊、漏诊的情况。这种肿瘤虽为低度恶性,但可远期复发,需要长期随访。

  既然雌激素可以让人容颜不老,是不是可以多补充雌激素呢?朱彦玲强调:外源性雌激素一定要在全面检查后在专业医生指导下补充,随意补充雌性激素可能导致乳腺、子宫疾病,肝肾功能损伤。


扫一扫,分享本页