2023年10月是全国“敬老月”
主题是
“实施积极应对人口老龄化国家战略
推进无障碍环境共建共享”
↓↓↓
老年人因为消化功能减退
容易产生消化不良
如果无节制地吃一些不易消化的水果
极易产生严重的健康问题
近期市面上大量冬枣已上市,65岁的李阿姨也买了一斤解解嘴馋,冬枣的脆甜让李阿姨越吃越想吃,不知不觉已经吃了10多个,家里还有之前买的山楂,李阿姨想着吃了那么多枣子,再吃一些山楂帮助消化一下,不知不觉又吃了10多个山楂,不曾想这两种水果一结合,可把李阿姨害苦了。
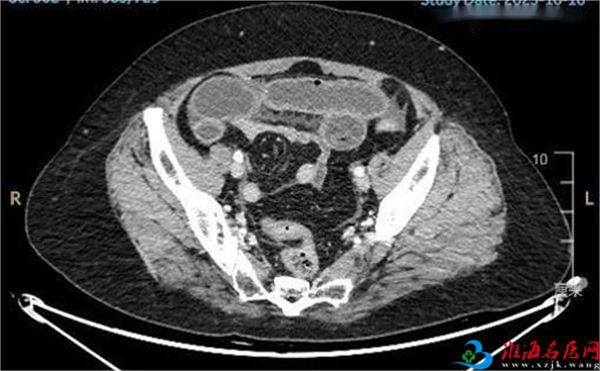
吃完当天李阿姨就肚子疼,去社区医院打水,连续打六天肚子还是疼,直到腹痛难忍才急忙赶到徐州医科大学附属医院急诊就诊。通过腹部CT发现多发小肠胀气、积液,可见气液平,提示小肠梗阻表现,腹盆腔积液。当日胃肠外科值班医生孟松主任结合病史,查体和CT检查,判断李阿姨得了小肠梗阻,且经过了积极的保守治疗后腹痛腹胀依旧不见好转,李阿姨辗转反侧不能停歇,遂建议李阿姨紧急手术探查。
	 
山楂+冬枣
	 
吃柿子导致柿石梗阻
手术中,末端小肠扪及一枚较大的粪石卡在小肠,导致小肠不通,近端小肠扩张积液明显,可扪及多个较小的粪石。孟松主任从李阿姨的小肠中取出5块粪石,其中最大一块近5公分,最小的也有2公分。术后李阿姨腹痛腹胀明显缓解,顺利出院。为了避免此类事件再次发生,李阿姨想通过自己的案例告诉大家:千万不要把冬枣和山楂一起吃,真的是太痛苦了,花钱受罪。
	 
枣核导致肠穿孔
	 
鱼刺导致肠穿孔
孟松主任解释说,本例患者为植物性胃石症。由于食入各种难以消化的水果、蔬菜、植物纤维等与胃酸作用凝集成块所致,进食柿子、黑枣、山楂等均可形成胃石,其中柿石症较多见。由于柿子中含较多鞣酸,在胃酸作用下,鞣酸与蛋白结合形成不溶于水的沉淀物,同时柿子中的果胶、树胶遇酸也可发生凝结,并将果皮、纤维及食物残渣胶着在一起形成凝块,许多凝块可互相黏结积聚形成巨大团块状的胃石。若上述食物与鱼、虾、螃蟹等高蛋白食物一同食用,会增加胃石发生的风险。部分松散的、小的胃石也可能进入肠道,从而导致粪石性小肠梗阻。
	 
 
孟松主任在此告诫各位市民朋友:
遇到柿子、黑枣、山楂等的食物要适量,避免空腹食用,不可贪嘴;吃食物时也要慢一些,每年都会遇到因误吞枣核、鱼刺、鸡骨头等食物造成胃肠道穿孔,被迫行急诊手术。
