欢迎进入淮海名医网淮海健康在线
您现在的位置是:淮海名医网 > 全网新闻 > 新闻资讯 > 呼吸与危重症医学科“绿色通道”紧急施救误吸异物中年男子
呼吸与危重症医学科“绿色通道”紧急施救误吸异物中年男子
信息来自:徐州健康网    发布时间:2022-06-28 14:00:00    阅读量:9300次
[摘要]:淮海名医:2022年6月20晚,我院急诊接诊一位由邳州紧急转诊的特殊病人。当日中午,患者进食呛咳后痰中带血,至当地医院查CT考虑右肺下叶气管内异物。呼吸与危重症医学科的张文辉主任接到急诊会

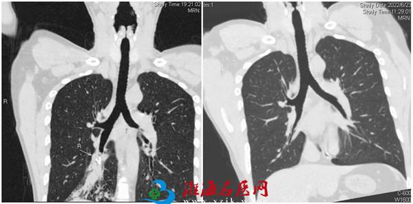
  2022年6月20晚,我院急诊接诊一位由邳州紧急转诊的特殊病人。当日中午,患者进食呛咳后痰中带血,至当地医院查CT考虑右肺下叶气管内异物。呼吸与危重症医学科的张文辉主任接到急诊会诊电话后,迅速赶往急诊现场,立即行气管三维重建和增强扫描,发现右肺下叶类圆形的异物,直径约6.6mm,异物位于亚段支气管远端,不易取出,可能会导致大咯血,立即收入呼吸ICU进一步治疗。

  呼吸ICU团队李元芹副主任医师、嵇桂娟副主任医师及呼吸内镜团队孙理想主治医师仔细阅读胸部CT表现,发现该患者右肺下叶体积缩小,出现阻塞性炎症,支气管粘液嵌塞,说明异物并非短期吸入。追问患者,患者近五年反复咳嗽,误当支气管肺炎治疗。为尽快明确异物阻塞位置和管腔内情况,在入院当天行RICU床旁气管镜探查。在嵇桂娟副主任医师、李海侠主管护师的配合下,孙理想医师小心翼翼地将支气管镜输送到病人气道,逐个叶段仔细探查,发现右肺下叶基地段开口见一膜状物堵塞,气道几乎完全闭锁,同时吸出大量血性分泌物。

  RICU床边支气管镜探明管腔阻塞情况后,陈碧主任主持病例讨论下一步治疗方案,李元芹副主任医师、嵇桂娟副主任医师等RICU团队及呼吸内镜团队刘平莉主任医师、孙理想主治医师仔细分析患者异物阻塞位置及管腔受累情况,制定了下一步呼吸内镜下治疗方案:在呼吸内镜中心行全麻下气管镜腔内肉芽组织清理+异物钳取,先用高频电刀放射状切开,高频电凝及钳夹清除肉芽组织,观察远端气管情况,探查异物与周围组织粘连情况。同时提出大出血预案,联系胸外科张昊主任会诊,做好了外科手术的紧急预案。

  次日,在麻醉科的大力支持下,患者在呼吸内镜中心如期进行内镜下手术。麻醉医师为患者充分麻醉后,孙理想医师按照术前规划,先用高频电刀放射状切开,高频电凝及钳夹清除肉芽组织,吸除气管分泌物,因远端气道狭窄,异物与周围组织粘连较为严重。通过耐心细致的逐层分离其表面肉芽,异物完全暴露,确认其与周边不粘连,李海侠主管护师将异物紧紧钳住,孙理想医师通过不断地调整内镜走向,尽可能地避免划伤气道黏膜。在医护完美配合下,成功地将金属异物取出,术中出血很少。

  因为很顺利,术后患者无明显痰中带血,咳嗽明显减轻。治疗痛苦小,花费少,患者转危为安。病人家属不停感谢医护人员:“真是太谢谢你们!你们给我们提出这么好的方案,  现在手术很成功,我们不用去手术了,谢谢你们。”

  患者醒后回忆可能几年前甚至孩童时期不慎误吸该金属物,他不忘给医护人员点赞:“徐医附院水平没说的,太感谢了!”呼吸内镜治疗后第二天复查CT,异物取出后右肺下叶气管远端狭窄明显改善。

  2022年6月24日再次复查气管镜,清除患者右下叶基底段坏死物并行疤痕环形冷冻治疗,术后无明显出血,冷冻治疗前后对比可见气管狭窄明显减轻。

  气道异物是生活中常见的急症之一,无论是较大异物还是较小异物,都有可能引发一系列的并发症,甚至出现呼吸困难、窒息等症状,短时间内得不到及时的救治可能会危及生命。近年来,呼吸与危重症医学科努力提高呼吸危重症和呼吸内镜诊疗技术,积极开展了三四级呼吸内镜检查和治疗技术,结合呼吸ICU的重症支持体系,在应对气管异物、大咯血和困难气道处理等急危重症方面的能力有了明显提升,确保在最大程度上保障急危重患者的生命安全。今后科室继续医院高质量转型发展的战略,全面提升医疗服务能力。


扫一扫,分享本页