欢迎进入淮海名医网淮海健康在线
您现在的位置是:淮海名医网 > 全网新闻 > 女性健康 > 脑动脉瘤破裂!徐州市第一人民医院神外&介入团队联合实施的微创杂交手术让年近七旬的她转危为安
脑动脉瘤破裂!徐州市第一人民医院神外&介入团队联合实施的微创杂交手术让年近七旬的她转危为安
信息来自:徐州健康网    发布时间:2024-12-26 16:23:00    阅读量:11292次
[摘要]:徐州健康:在徐州市第一人民医院,几乎每天都在上演着医护人员争分夺秒与时间赛跑、与死神较量的生命保卫战。不久前,一位年近七旬的患者H女士(化姓)因脑动脉瘤破裂出血生命垂危,在徐州一

  在徐州市第一人民医院,几乎每天都在上演着医护人员争分夺秒与时间赛跑、与死神较量的生命保卫战。

  不久前,一位年近七旬的患者H女士(化姓)因脑动脉瘤破裂出血生命垂危,在徐州一院急诊医学科、医学影像科、麻醉科、手术室、重症医学科等多学科团队紧密配合下,经过该院神经外科&介入与血管外科团队的联合救治,患者转危为安。

  突发病情:

  颅内的“不定时炸弹”炸了

  脑动脉瘤,也称为颅内动脉瘤,是颅内动脉血管壁局部的异常扩张,这种扩张会让动脉管壁变得很薄,并在没有预警的情况下破裂出血,危及生命。这一被称为颅内“不定时炸弹”的疾病,因其突发性和致命性,往往让患者和家属措手不及。

  68岁的H女士便是这场生命危机的亲历者。不久前的一天上午,她在家中突发意识不清,呼之不应,并伴有喷射性呕吐和四肢抽搐,被吓坏的家人立即将其送往徐州一院。

  紧急救治:

  多学科团队迅速响应、科学决策

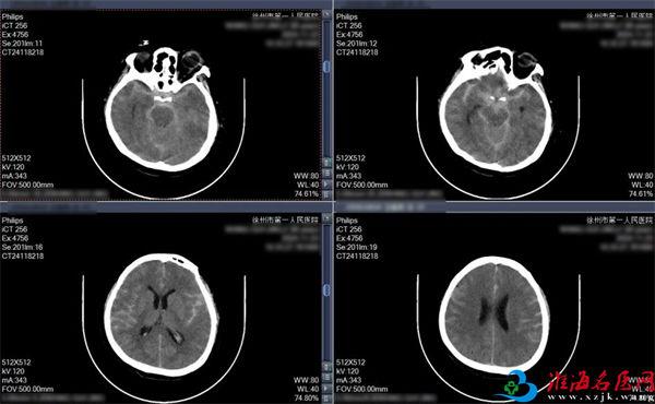
  面对如此紧急的情况,急诊医学科主治医师汪翔和护士长戴茜、谭飞龙护理团队一边迅速安置患者,给予心电监护、吸氧、开放静脉通路、检验标本采集等紧急救治,一边简要询问病史后急查头颅CT及CTA,结果提示:蛛网膜下腔出血,左侧大脑前动脉动脉瘤表现。病情危急,需要立即手术干预。

术前CT示:蛛网膜下腔出血

头颅CTA示:前交通动脉瘤

  接到会诊电话,神经外科主治医师汤天津和介入与血管外科的神经介入专家、主任医师刘建迅速赶来,结合患者的病情、年龄,并与家属充分沟通后,决定先为患者进行脑室钻孔外引流,以降低颅内压,再由介入团队实施经导管颅内动脉瘤栓塞术。

  H女士被收入神经外科病房。汤天津将患者的病情和治疗方案立即汇报给科室负责人、主任医师渠敬峰和医疗组长、副主任医师汤计磊,并得到了他们的赞同与支持。各项术前准备完成,手术立即展开。

  团队协作:

  微创杂交手术化险为夷

  对于脑动脉瘤患者,麻醉至关重要,既要维持足够的灌注压防止脑缺血,又要控制过高血压导致动脉瘤破裂或加重颅内出血风险,还要兼顾患者复杂的病情,这些都给麻醉提出了极大的挑战,不但检验着麻醉医生的专业技术水平,更考验着他们面对突发情况的迅速响应及救治能力。

  麻醉专家团队孔明、谢文静、吴靓、刘澳华术前制定了详细的麻醉方案及风险预案,备齐各项抢救设备,严密监护,科学管理,根据患者基础血压数值和手术进展精准调控血压值及麻醉深度,确保手术顺利进行。

  在渠敬峰、汤计磊的指导和蔡倩、邱瑾护理团队的密切协作下,汤天津和住院医师赵赛赛为患者实施了全麻下脑室钻孔引流术。

  紧随其后,在介入导管室护士长孙宁、护士卢微和技师朱子蕙的配合下,主任医师刘建、住院医师张栋,为患者实施了经导管颅内动脉瘤栓塞术。术中刘建团队精准定位动脉瘤位置,并小心翼翼地将5枚弹簧圈依次送入栓塞远端动脉瘤体。最后造影显示动脉瘤已基本不显影,载瘤动脉血流通畅,颅内血管未见明显栓塞征象。

术前

术后

  拆“弹”成功!

  术后H女士转入重症医学科,经过医护团队的密切监护后顺利返回病房。在医疗团队和护士长刘玲带领的护理团队的精心照护下,H女士的意识状态、语言、肢体运动等各项功能都恢复如常,已于不久前康复出院。

  这一系列的救治措施,不仅体现了多学科团队之间的紧密协作,再次证明了徐州一院在神经外科、介入与血管外科领域的硬核技术和专业实力,还充分彰显了徐州一院对患者生命一以贯之的尊重和珍视。

  健康所系、性命之托。徐州一院将继续秉承以患者为中心的服务理念,不断提升医疗技术和服务水平,为更多患者的生命健康保驾护航。


扫一扫,分享本页