欢迎进入淮海名医网淮海健康在线
您现在的位置是:淮海名医网 > 全网新闻 > 新闻资讯 > 徐州市中心医院丨诊断冠心病心肌缺血的金标准:核素心肌灌注显像
徐州市中心医院丨诊断冠心病心肌缺血的金标准:核素心肌灌注显像
信息来自:徐州健康网    发布时间:2024-11-28 15:26:00    阅读量:11097次
[摘要]:徐州健康:45岁的患者张先生经常感到胸前区疼痛,到医院接受了心脏超声、冠脉CTA检查,都显示正常。虽找不出原因,但症状始终持续存在。因此,张先生感到非常紧张。在心内科医生的建议下,张

  45岁的患者张先生经常感到胸前区疼痛,到医院接受了心脏超声、冠脉CTA检查,都显示正常。虽找不出原因,但症状始终持续存在。因此,张先生感到非常紧张。在心内科医生的建议下,张先生来到徐州市中心医院核医学科,接受了核素心肌冠脉显像检查。结果显示,张先生的症状是由于冠脉痉挛引起,通过调整生活方式、对症治疗,一个月后,张先生疼痛消失,再次复查核素心肌灌注显像检查,已经完全恢复正常。

  “核医学科作为现代医学诊断的重要组成部分,其独特的影像技术和功能评估能力,在冠心病心肌缺血的早期诊断、分型、决策治疗及疗效评估中发挥着不可替代的作用。”核医学科副主任、主任医师鹿存芝表示,核素心肌灌注显像可以直接观察心肌细胞的状态,这项检查能够揭示出即使冠脉主干看似通畅,心肌是否仍然存在缺血的情况。

  看清心肌细胞这片“树叶”

  36岁的李先生在接受冠脉CTA检查后发现,其前降支有90%重度狭窄,对此十分紧张。辗转许多医院就诊后,皆建议支架治疗。但是由于平时身体无任何症状,李先生对此有些犹豫。在朋友推荐下,他慕名来到我院核医学科接受了核素心肌灌注显像检查。检查结果显示正常,其心肌没有血流动力学障碍,专家判断暂不需要支架治疗及药物扩血管治疗,建议他定期随访复查。

  “核素心肌灌注显像可以直接观察心肌细胞的状态,实现精准诊断。因此,如果检查结果正常,说明该患者心脏冠脉前降支90%的狭窄并没有引起缺血性病变。”鹿存芝介绍,许多患者常常因心绞痛胸闷而就诊,常见的检查方法是冠脉造影或冠脉CTA。这项检查可以非常容易观察到心外膜大血管是否有狭窄,对于诊断冠脉狭窄具有不可替代的价值。然而,随着医学研究的深入,其局限性也逐渐显现:冠脉造影仅能观察到血管狭窄情况,却难以触及微血管病变这一影响心肌血流灌注的关键因素。事实上,“冠脉狭窄≠心肌缺血”,这些微血管病变往往是患者反复出现心绞痛的“元凶”。

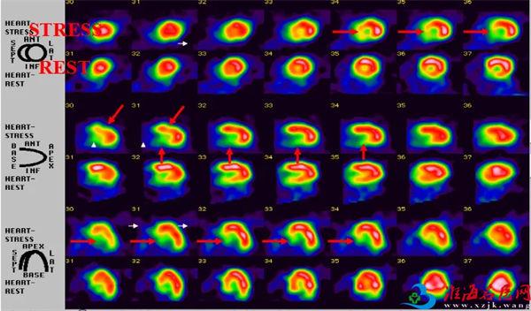
冠脉造影正常而心肌中重度缺血

  因为冠脉就像枝叶繁茂的树枝一样,当主干血管因狭窄而逐步闭塞时,旁边的小血管(侧支循环)就会逐渐地打开。只要侧支循环建立良好,就可以保证心肌的血供而不发生缺血。反之,即使冠脉造影没有看到明显的狭窄,患者却往往因微循环异常或冠脉痉挛或不稳定斑块的破裂而发生心肌梗死甚至猝死。

  冠脉与心肌细胞的关系就如同一棵大树,树干和树枝相当于冠脉,树叶相当于心肌细胞。冠脉造影和冠脉CT是在看“树枝”,看到的是冠脉血管病变的狭窄部位、范围和程度;而核素心肌灌注显像是在看“树叶”,可以直观地了解心肌的血流分布情况、心肌细胞的功能状态。若树叶茂盛安好,表示心肌细胞供血良好,可暂不需要启动冠心病的支架或药物扩血管治疗,但需针对冠心病危险因素的防治;若“树叶”枯萎,才需要结合冠脉CT或冠脉造影找出病变“树枝”,即“罪犯血管”,选择适合的血运重建术,如冠脉支架植入术或冠脉搭桥手术。

  让早期诊断、

  早期预警成为可能

  冠脉造影正常,心肌重度缺血。

  冠心病是一个复杂的谱系,不是一种类型,有很多种类型,需要通过各种检查,综合分析是具体什么种类。在临床上,核素心肌灌注显像需与心脏超声、心电图、冠脉CTA、冠脉造影等检查互为补充。不过,值得强调的是,核素心肌灌注显像是诊断冠心病心肌缺血的“金标准”;冠脉造影是诊断冠脉狭窄的“金标准”,对于冠心病的完整诊断,二者互补,缺一不可。

  如今,核素心肌灌注显像已成为冠心病诊断、疗效评价以及愈后判断的重要的无创诊断方法,其具有简单、无创、安全、诊断准确性高等优点,能够为一些复杂疑难病例精准诊断带来助力。当心肌缺血发生时,最先出现异常的就是心肌灌注,可以达到早期诊断、早期预警的目的。

  作为一种无创的影像学检查,核素心肌灌注显像就是经静脉注射显像剂,当显像剂达到心肌时,缺血、损伤或坏死部位心肌的心肌细胞摄取显像剂的能力降低甚至丧失,影像上显示心肌图像的亮度越低,据此可判断心肌缺血的部位、程度、范围,并提示心肌细胞的活性是否存在。

  近年来,核医学科副主任、主任医师鹿存芝通过不断创新和整合核素心肌显像在冠心病中的应用,为患者提供了更加精准、个性化的诊疗服务,成为心内科临床医生的坚强后盾。在她的带领下,加强与心内科、影像科等科室的合作,建立了MDT多学科协作机制。此外,建立心脏影像小组,成员包括CT室、心脏磁共振、心脏超声、核医学科等,每周开展一次疑难病例多学科会诊,现已持续十年。经过多学科共同探索实践,先后完成6万多例核素心肌灌注显像,为疑难冠心病的精准判断提供助力,形成了特色鲜明的“中心医院模式”,其诊断技术和水平位于全国先进行列。

 哪些人需要接受核素

  心肌灌注显像

  (1)对于存在不明原因心前区不适症状,并且无法排除冠心病心肌缺血可能的患者;

  (2)针对肾功能不全、无法耐受造影剂或不宜接受冠脉造影的患者;

  (3)需要筛查具有冠心病高风险因素的人群;

  (4)针对冠心病患者制定合适的治疗方案并评估其疗效,进行预后评估、危险程度分层及心脏不良事件预测;

  (5)监测和评价心肌缺血治疗的效果(包括血运重建术、溶栓疗法及药物治疗);

  (6)辅助诊断微血管性心绞痛(X综合征)、心肌病及心肌炎。

  (7)非心脏外科手术前心脏功能评估。

 温馨提醒 

  核素心肌冠脉显像检查为预约制,如需检查,请提前预约。

  鹿存芝

  核医学科副主任 主任医师

  硕士研究生导师

  学会任职:中华医学会核医学分会核心脏学组委员,中华医学会骨质疏松与骨矿盐疾病分会诊断与质控学组委员,中国微循环学会理事,江苏省核医学分会常委,江苏省骨质疏松与骨矿盐疾病分会委员,江苏省老年学会骨质疏松分会常委,江苏省核医学分会影像学组副组长,徐州市核医学专业委员会副主任委员。

  专业范围:ECT诊断;甲亢、甲Ca及肿瘤骨转移等核素治疗;骨质疏松诊断及治疗;类风关、甲亢突眼等云克治疗。

  擅长:心脏核医学诊断、ECT临床诊断、甲亢、甲Ca及肿瘤骨转移等核素治疗;骨质疏松诊断及治疗。


扫一扫,分享本页