欢迎进入淮海名医网淮海健康在线
您现在的位置是:淮海名医网 > 全网新闻 > 女性健康 > 徐州医科大学附属医院神经内科与中医科专家团队让国内众多神经元核内包涵体病(NIID)患者在诊疗中获益
徐州医科大学附属医院神经内科与中医科专家团队让国内众多神经元核内包涵体病(NIID)患者在诊疗中获益
信息来自:徐州健康网    发布时间:2024-10-12 14:10:00    阅读量:14633次
[摘要]:淮海名医:01 病情回顾65岁的朱阿姨,近5年反复头晕头痛,记忆力下降,逐渐加重,做了颅脑MRI提示“多发性脑缺血、脑白质病变”,辗转国内多家医院,考虑是“脑梗死、脑白质病变”,进行了药物

 01 病情回顾

  65岁的朱阿姨,近5年反复头晕头痛,记忆力下降,逐渐加重,做了颅脑MRI提示“多发性脑缺血、脑白质病变”,辗转国内多家医院,考虑是“脑梗死、脑白质病变”,进行了药物治疗,可是症状却不见好转,反倒越来越重,近期偶尔还会出现大小便失禁。

  朱阿姨慕名找到徐州医科大学附属医院神经内科陈浩主任团队,经仔细询问病史后,发现朱阿姨除了头晕头痛、记忆力下降等症状外,还有视物模糊、顽固性干咳、手抖等症状,结合朱阿姨头颅磁共振DWI序列皮髓质交界处高信号,陈主任高度怀疑患者得了“神经元核内包涵体病(NIID)”,之后为其安排了基因检测、唇腺活检、肌电图等相关检查,结果发现朱阿姨NOTCH2NLC基因5'UTR 区域的 GGC重复突变达到139次,唇腺活检检测出嗜酸性核内包涵体。

  终于真相大白,朱阿姨得的就是“神经元核内包涵体病”。凭借徐医附院中西医诊疗专家团队治疗神经元核内包涵体病丰富的治疗经验,对朱阿姨予以中医辨证治疗,她的病情得以明显好转!

  02 什么是神经元核内包涵体病?

  神经元核内包涵体病(NIID)是一种罕见的慢性神经退行性疾病,以神经系统受累为主,亦可累及心脏、肺、消化道、肾脏、眼等多个器官系统。其病理特征是神经元和全身其他组织细胞核内出现嗜酸性透明状包涵体。好发于亚洲地区,主要集中在中国和日本。

  03 神经元核内包涵体病有哪些症状?

  神经元核内包涵体病不仅可累及中枢、外周、自主神经系统,也可影响其他系统,包括呼吸系统、泌尿系统、消化系统、运动系统,出现相应症状,其临床表现复杂多样。

  一、神经系统症状表现

  认知功能障碍:最常见,患者出现记忆力下降、智能减退;

  震颤、肌张力障碍:出现双手抖动,特别是做精细动作或情绪激动时明显;

  共济失调:行走不稳、动作不协调;

  四肢:肢体无力、麻木、刺痛;

  自主神经症状:包括泌尿生殖系统功能障碍、瞳孔缩小;

  发作性脑病:头痛、肢体抽搐、意识障碍、精神症状。

  二、神经系统外表现

  呼吸系统症状:常见顽固性刺激性干咳;

  循环系统症状:常见阵发性胸痛和体位性低血压等;

  运动系统症状:核心临床表现肌肉无力和关节疼痛等;

  泌尿系统症状:核心临床表现为尿频、尿急;

  消化系统症状:核心临床症状为便秘和恶心、呕吐;

  生殖系统症状:男性为排尿困难、滴尿等良性前列腺增生症状;女性为不规则阴道出血和不孕症;

  内分泌系统症状:症状隐匿,核心表现为高血糖和甲状腺功能减退相关症状,包括多饮多尿,消瘦,下肢水肿;

  其他症状:如视力模糊、性功能障碍、听力丧失和皮肤褥疮也很常见。

  04 神经元核内包涵体病的发病机制是什么?

  神经元核内包涵体病是常染色体显性遗传性疾病。2019年国内外学者相继发现NOTCH2NLC 基因在 5'UTR 区域的 GGC 重复扩展突变(动态突变)与神经元核内包涵体病的发病相关。正常人中,GGC重复不超过40次;而在神经元核内包涵体病患者体内,GGC重复序列发生异常扩增,重复次数达到60-200次。GGC扩增会产生一种异常的多聚甘氨酸蛋白,这种异常蛋白聚集并沉积体内就形成了广泛分布的核内包涵体。

  05 神经元核内包涵体病如何诊断?

  由于神经元核内包涵体病临床表现具有高度异质性和多系统性,因此其临床诊断具有很大的挑战,主要辅助检查检查依据有:

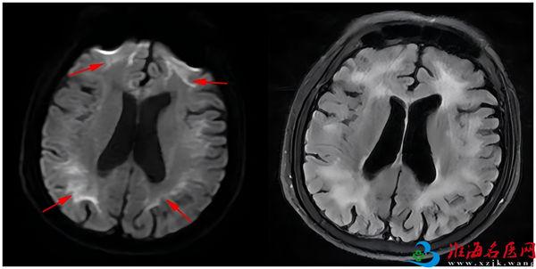
  1.颅脑MRI特征性表现:广泛脑白质病变,特别是DWI皮质髓质交界处的高信号——“绸带征”。

  2. 唇腺或皮肤组织活检:p62及泛素阳性核内包涵体。

  3.基因检测:NOTCH2NLC基因检测GGC重复次数超过60次。

  4.肌电图:运动:MCV减慢  CMAP降低;感觉:SCV减慢,SNAP降低。

  06 神经元核内包涵体病的治疗

  目前关于神经元核内包涵体病尚缺乏特异性治疗,主要以对症支持治疗为主。针对目前治疗现状,2018年徐医附院神经内科陈浩主任团队联合中医科贾先红主任率先在国内开展了神经元核内包涵体病的中西医结合诊疗。予以改善线粒体功能、清除自由基及营养神经等对症治疗。同时根据中医辨证辅以中医调理原则,滋养肝肾以固本培元,平肝潜阳以平息内风,豁痰通络以畅通气血循环,健脾养血以增强机体运化与滋养能力。

  经过6年多中西医结合治疗探索,形成了关于神经元核内包涵体病特殊的中西医理论及治疗方案,使患者取得了良好效果,大大延缓了患者病程及减少了患者入院频次。

中西医联合特色治疗

  07 团队介绍

  徐州医科大学附属医院神经内科陈浩主任团队长期致力于神经元核内包涵体病的临床和基础研究,目前神经元核内包涵体病患者数量及组织样本量均位于国际前列,系列成果先后在国际顶级期刊Brain(IF:13.501,2篇)、European Journal of Neurology,Neuropathology and Applied Neurobiology,Annals of Clinical and Translational Neurology 等发表SCI论文10余篇。

  此外,团队在神经元核内包涵体病病理性诊断(唇腺活检、液体活检及无创活检等)以及影像学诊断等,特别是中西医结合治疗方面具有先进技术和丰富经验。近年来团队诊治了来自北京、上海、重庆等地的神经元核内包涵体病患者,使诸多患者得到明显获益。

  08 专家简介

  陈 浩

  徐州医科大学附属医院,副主任医师,副教授

  神经内科科室副主任,神内ICU主任

  中国医药教育协会神经免疫专业委员会委员

  江苏省卒中学会青年委员会副主任委员

  淮海经济区神经内科专科联盟-认知专业组主任委员

  淮海经济区神经内科专科联盟-神经重症专业组主任委员

  江苏省菁英计划人才

  徐州彭城英才-医学青年后备人才

  Advanced Neurology 青年编委

  European Journal of neurology(IF6.288/Q1)等杂志审稿人

  近年以第一作者或通讯作者共发表包括Brain杂志(2篇)在内的SCI论文26篇

  门诊时间:周四下午记忆认知障碍专家门诊

  贾先红

  徐州医科大学附属医院,主任医师,副教授

  国医大师孙光荣教授学术继承人

  徐州医科大学附属医院中医科副主任

  徐州市综合医院中医专业医疗质量控制中心委员

  继承内容:中和医派中医辨治六步程式

  学术思想:创造性提出少阳相火致癌学说、五色八脉理论体系

  主编《把脉癌症》、《国医大师孙光荣中医临床六步辨治程氏应用医案集》中医学术专著2部。

  门诊时间:周一东院高级专家门诊、周五本部专家门诊

  温馨提示        

  如您的家人或朋友,出现认知功能下降、四肢抖动、视物模糊及发作性脑病等症状,头部影像学提示:脑白质病变,需要相关帮助,可以通过“徐州医科大学附属医院”微信公众号预约神经内科陈浩主任门诊。团队将为NIID患者从“临床-影像-病理-基因”多维度明确诊断,并通过多学科团队讨论建立中西医结合的综合诊疗方案,为NIID患者提供个体化高质量医疗服务及长期随访。


扫一扫,分享本页